入れ歯は手軽な治療法ですが、「天然の歯」のように快適に生活を送るには限界があります。
「最近噛みにくくなってきた」「そろそろ入れ歯かな…」と感じている方は、実は“ボロボロになる前”の大切なタイミングです。
入れ歯が合わない、しっかり噛めないといったお悩みは、単なる不便さだけでなく、食事の満足度や会話のしやすさ、自信のある笑顔にも影響します。
しかし、インプラントに乗り換えることで、その悩みを根本から解消し、自然な噛み心地と見た目を取り戻せる可能性があります。
当院には、「入れ歯が合わない」「噛めなくなってきた」というご相談のほか、咬合が崩壊してから来院される方も少なくありません。
ですが、実は“その少し手前”の段階でインプラント治療を検討することで、骨や歯ぐきの状態が良好なうちに、より理想的な治療が行えるケースが多くあります。
「噛めなくなる前に」「入れ歯に頼る前に」——。
そんなタイミングで治療を選択された方の事例と、入れ歯からインプラントへ乗り換えるための選択肢を、次にご紹介します。
入れ歯からインプラントへ乗り換える3つの方法
あなたの口の状態やご希望に応じて、最適なインプラント治療法をご提案します。
①単冠インプラント(失った歯が比較的少ない方へ)

失った歯の箇所にインプラントを1本埋め込み、独立した人工歯を装着する方法です。
【メリット】
隣の健康な歯を削る必要がなく、部分入れ歯のようにバネをかける負担もありません。天然の歯と同じように噛めるようになります。
ソケットプリザベーションを行い、入れ歯からインプラントに切り替えた症例


| 年代・性別 | 60代女性 |
| 主訴 | 奥歯の違和感 |
| 診断 | 歯根破折 |
| 治療内容 | 左奥歯の1本のインプラント |
| 費用 | インプラント1本:46.2万(税込)ソケットプリザベーション:8.8万(税込) |
| 期間 | 6ヶ月 |
| リスク・副作用 | 治療後はしっかりメインテナンスを行わないと歯周病やセラミックの破折の可能性があります。 |
患者様は当院でメインテナンスをおこなっていた60代女性です。
前歯が反対咬合で、噛み合わせの力が強くかかるリスクがありましたが、ある時から右下に違和感が出始め、診断の結果、歯根破折(歯のヒビ)が見つかり抜歯を余儀なくされました。
抜歯時には、歯の周囲の骨を保存する「ソケットプリザベーション」を実施。
その後、いったん入れ歯を装着しましたが、噛みづらさが残り、よりしっかり噛める方法を希望され、インプラント治療へ移行しました。
ソケットプリザベーションを行っていたことで、骨の高さと厚みが保たれ、インプラント埋入の難易度を大幅に軽減できました。
治療後は違和感もなく、自然に噛める状態を回復。
また、今後の歯への負担を減らすために、就寝時にはマウスピースを併用し、インプラントと残存歯の両方を守るケアを継続されています。
②インプラントオーバーデンチャー(総入れ歯の方で、負担を抑えたい方へ)

顎の骨に2~4本のインプラントを埋め込み、それを「土台」として総入れ歯をしっかりと固定する方法です。
【メリット】
総インプラント治療よりも手術の負担や費用を抑えられます。入れ歯がインプラントでしっかり固定されるため、動かず・外れにくくなり、会話や食事が格段に楽になります。
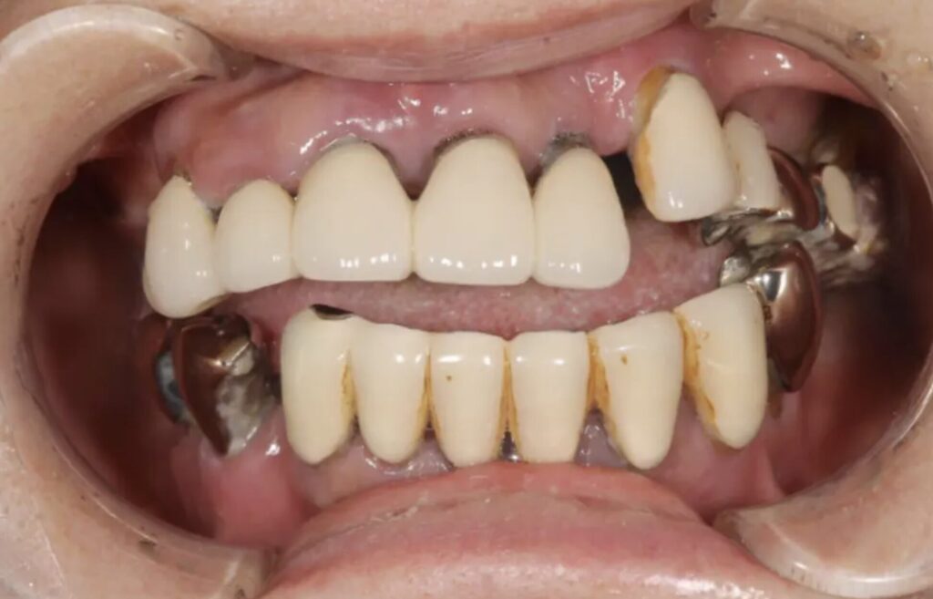
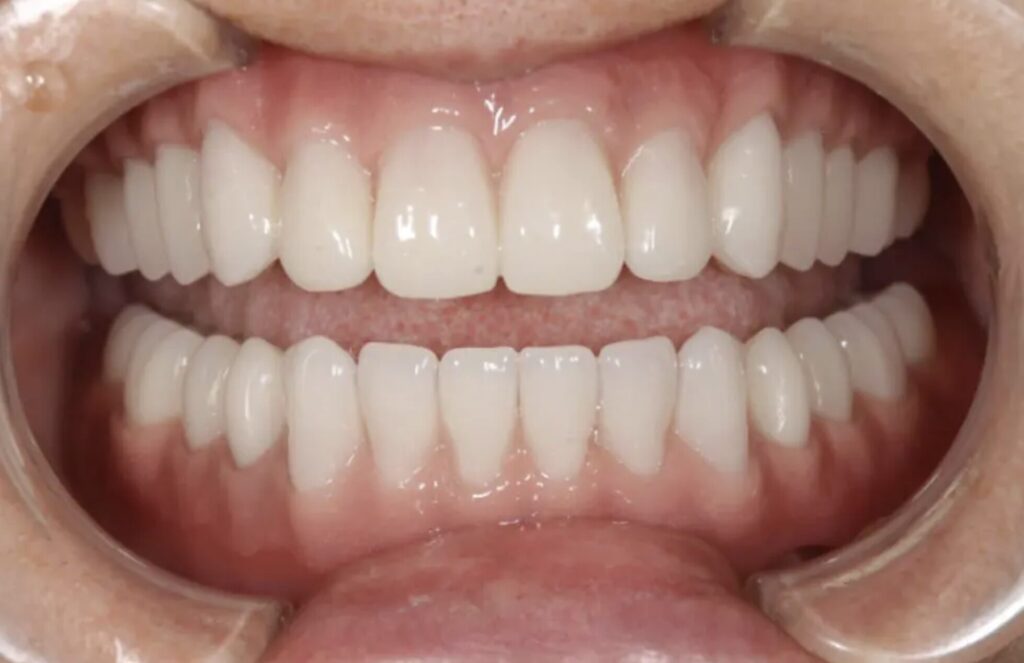
「入れ歯では噛めない」からの解放|インプラントオーバーデンチャーで劇的改善した症例


| 年代・性別 | 60代女性 |
| 主訴 | 左上のブリッジが外れかけている、歯がないところに歯を入れたい |
| 診断 | 病的咬合 |
| 治療内容 | 上:金属床下:インプラントオーバーデンチャー |
| 費用 | 約200万(税込) |
| 期間 | 1年半 |
| リスク・副作用 | 外科処置が必要。入れ歯で噛みにくい期間がある。静脈内鎮静における注意事項がある |
60代女性の患者様は、「左上のブリッジが外れかけている」「歯がないところに歯を入れたい」というお悩みで来院されました。長年ご両親の介護を優先し、自分の歯の治療を後回しにされていたそうです。これまで入れ歯での生活に不自由を感じていたことから、しっかり噛める治療を希望。診断の結果、上顎は総義歯、下顎はインプラントオーバーデンチャーで治療を行いました。静脈内鎮静下でのオペにより、恐怖や痛みを抑えながら、安全に手術を実施。治療後は噛み心地・見た目ともに大きく改善し、入れ歯では得られなかった安定感と自信を取り戻された症例です。
③オールオン4(多数の歯を失い、早期回復を望む方へ)

たった4本のインプラントで、片顎全ての人工歯を支える画期的な治療法です。(当院では比較対象としてご紹介します。)
【メリット】
顎の骨が少ない方でも治療可能な場合が多く、手術当日に仮歯を装着できるため、短期間で劇的な機能回復を目指せます。
でも「外科手術が怖い」「痛みが心配」という方へ
「インプラントは良さそうだけど、手術が怖い」という不安は当然です。しかし、ご安心ください。当院では、患者様の痛みと不安を極限まで減らすための体制と、確かな技術で対応しています。
怖くない、痛くない「静脈内鎮静法」

静脈内鎮静法とは、静脈から鎮静剤を投与することで、患者様の不安や恐怖心を和らげ、リラックスした状態で治療を受けていただく方法です。
全身麻酔とは異なり意識はありますが、うとうとと眠っているような状態になり、治療中のストレスを大幅に軽減できます。さらに、治療中の記憶がほとんど残らない(健忘効果)ため、「手術が怖い」という方に最適な方法です。
当院の静脈内鎮静法の特徴

当院では、患者様に安心して治療を受けていただくために、麻酔科専門医と密に連携し、安全かつ質の高い静脈内鎮静法を提供しています。
- 麻酔科専門医との連携
麻酔の専門家が患者様の全身状態を管理するため、より安全性の高い治療が可能です。 - 遠隔問診による事前説明
麻酔科医が事前に健康状態などを確認し、術前にしっかりと情報共有を行うため、安心して治療に臨んでいただけます。
手術への不安を解消する「静脈内鎮静法」について、さらに詳しく知りたい方は専用ページをご覧ください。
インプラント埋入の確実性を飛躍的に高める「サージカルガイド」

インプラントを埋入を安全にかつ正確に行うための装置をサージカルガイドといいます。
これは、事前にCT撮影やコンピューターシミュレーションで決定した最適な位置・深さ・角度にインプラントを埋め込むための「ナビゲーションシステム」です。
このように事前の設計通りにインプラントを埋入できるため、手術時間も大幅に短縮することができます。だから、「腫れにくい」「痛みが少ない」低侵襲なインプラント治療が行えます。
院長はサージカルガイドの指導者です

当院の院長は、インプラントに特化したスタディーグループ「i6(アイシックス)」の理事を務めております。その活動の中で、サージカルガイドの講師として、多くの若手の先生方へ安全で確実なインプラント治療技術を伝えております。
当院のインプラント治療は、ほとんどすべてのケースで、このサージカルガイドを用いてオペをしておりますので安心してお任せください。
だから、インプラントは思ったほど大変ではありません。最新の技術と麻酔管理、そして指導者レベルの確かな技術で、安心して新しい一歩を踏み出していただけます。
“噛めなくなる前”が、治療のベストタイミングです

多くの方が、「入れ歯が合わない」「噛めない」と感じてからご相談に来られます。
ですが、本当は“その前”こそが、最も治療の選択肢が広がるタイミングです。
骨や歯ぐきが健康なうちにインプラントへ移行することで、手術の負担も軽く、より自然な噛み心地を取り戻せる可能性が高まります。
噛めなくなる前に。崩壊する前に。
その一歩が、今後の人生の「噛む喜び」を左右するかもしれません。
まずは、現在の状態を知るためのご相談から始めてみてください。
