治療までの経緯
患者様は当院でメインテナンスをおこなっていた60代女性です。
前歯が反対咬合というかみ合わせ、力のリスクがありましたが、ある時から右下に違和感が出て、診断の結果、右下の歯が歯根破折(歯のヒビ)となり抜歯せざるを得ない状況でした。
抜歯をする際にソケットプリザベーションという歯の周りの骨を保存する方法を行ない、その後にインプラント治療をして安定した状態で治療を行うことができました。
治療後は違和感もなくなり、しっかりと噛むことができるようになりました。
また、インプラントだけでなく、自分の歯を守るために、マウスピースを寝る際には使用していただき、できる限り歯の負担を減らしていただくようにしています。
臨床例
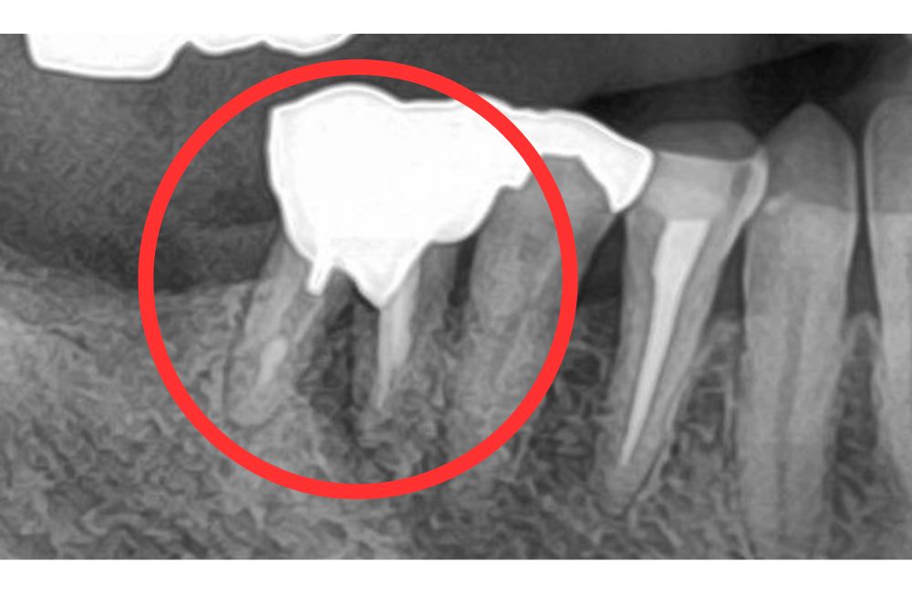
治療前の口腔内写真とレントゲン写真
かみ合わせの力で割れていました。


抜歯後に行ったソケットプリザベーション
骨と歯ぐきがある程度保存できたのでインプラントの難易度が下がりました。


インプラント埋入



サージカルガイドを用いて適切な位置にインプラントを埋入することができました。
歯肉の治りも良好です。
インプラント上部構造装着

治療詳細
| 年代・性別 | 60代女性 |
| 主訴 | 奥歯の違和感 |
| 診断 | 歯根破折 |
| 治療内容 | 左奥歯の1本のインプラント |
| 費用 | インプラント1本:46.2万(税込) ソケットプリザベーション:8.8万(税込) |
| 期間 | 6ヶ月 |
| リスク・副作用 | 治療後はしっかりメインテナンスを行わないと歯周病やセラミックの破折の可能性があります。 |
監修者情報

院長 渡邉 威文
- 九州大学歯学部 卒業
- 九州大学総合診療科にて研修
- 福岡赤十字病院にて研修
- 山口県萩市にて勤務
- 福岡県糸島市にて勤務
- 医療法人渡辺歯科医院 継承






