左上の歯は腫れを繰り返しており、歯が弱いと前医に言われていた。
固いものは噛みにくく、できる限りしっかりと食事がしたいとのことでした。
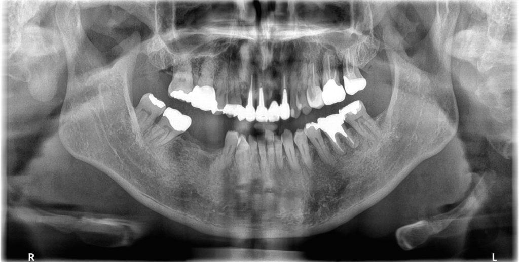
初診時の様子


相談に必要な資料
- 問診
- 口腔内写真
- パノラマレントゲン写真
- CT撮影
上記の無料相談を行った上で、後日精密な検査をおこなっていきます。
患者様とのやり取り
こんにちは!よろしくお願いします。
よろしくお願いします。左上の奥から2番目の歯茎が一昨日から腫れていて、今は少し治りましたが、固いものが噛みにくいです。
そうですね、口腔内を拝見するとやや腫れていますね。レントゲンでもこの歯の周りには骨が溶けているように見えます。
もともと前の先生には歯が弱っていると言われていました。
この歯が抜歯になった時には、入れ歯ですか?
右下はなんとか入れ歯を入れていますが・・使いにくくて・・
そうですね、入れ歯も一つの方法ですし、インプラントやブリッジも方法としてありますね。
インプラントについてはホームページを見ました。
ありがとうございます。インプラントは骨の中にインプラントを埋入していくのですが、今回痛んでいる歯は周りの骨が悪くなっていそうですね。
おそらく抜歯が必要になりますし、その後骨がどのくらい残るかが鍵ですね。
骨が少ない場合はどうするのですか?
その場合は、骨を増やす処置を行います。その後骨ができたところにインプラントをしていきます。
なるほど、時間はかかりそうですか?
はい、もし骨を作るとなると、骨ができるまで待つ期間やインプラントがかたまる時間など、時間はかかると思いますよ。
それでも仕方ないですね。
まずは歯の様子を確認して、抜歯をしてから治るまで2ヶ月ほど待ちますので、それからインプラントの計画を立ててみてはどうでしょうか?
そうですね、そうします。よろしくお願いします。
よろしくお願いします。
監修者情報

院長 渡邉 威文
- 九州大学歯学部 卒業
- 九州大学総合診療科にて研修
- 福岡赤十字病院にて研修
- 山口県萩市にて勤務
- 福岡県糸島市にて勤務
- 医療法人渡辺歯科医院 継承







