初診は右下の親知らずの抜歯を希望して来院されましたが、長年左下の歯に違和感を感じており、時々膿がでるとのことでした。
自分の歯は出来るだけ削りたくないとのご希望がありました。
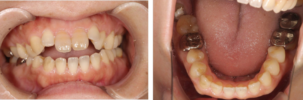
初診時の様子


相談に必要な資料
- 問診
- 口腔内写真
- パノラマレントゲン写真
- CT撮影
上記の無料相談を行った上で、後日精密な検査をおこなっていきます。
患者様とのやり取り
こんにちは!よろしくお願いします。先日は親知らずの抜歯お疲れ様でした。
抜歯が思っていた以上に全然痛くなかったので安心しました。ありがとうございます。
それはよかったです。今回は資料を元に少しお話をしたいのですが、右下にも違和感があったとのことですね。
はい、噛んだりすると少し痛みがありますし、歯茎を押すと膿がでる感じがします。
そうですか。レントゲン写真を見てみると左下の奥から2番目の歯が割れているように見えますね。
いつから違和感はありますか。
だいぶ前から感じていましたが、なんとかやり過ごすことができたので、このままでいました。
レントゲン写真から見ると、歯の根っこが割れていることで細菌が入ってきて
そして周りの骨を大きく溶かしています。
えーそんなになっていたんですね・・驚きです。何か方法はありますか?あまり歯を削りたくないので、インプラントを希望しているのですが
はい、方法はいくつかありますのでご安心ください。
その前にひとつお聞きしたいのですが、前歯はもとからこのようにあいていましたか?
はい、子供の時からこのような噛み合わせでした。
レントゲン写真から見ると、歯の根っこが割れていることで細菌が入ってきて、そして周りの骨を大きく溶かしています。そうですか。いわゆる開咬という状態ですね。
この噛み合わせであれば、前歯が当たらず奥歯だけが常に当たっているために、奥歯の負担が大きくなり歯が悪くなりやすいのです。
まずはこの噛み合わせをどうするかがポイントですね。
それと左下の治療だけに絞ってみると、骨が溶かされていますので、ここをしっかり治すことが大事ですね。場合によっては骨を増やす処置も必要かもしれません。
なんだか壮大な話ですね・・
そうですね笑
でもこれからわかりやすくご説明しますので大丈夫ですよ。それと先ほどインプラントを希望されていましたが、それも一つの方法ですし、他に親知らずもありますから、移植という方法も考えられますね。
削りたくないのであればブリッジは避けたいですし、私も今回はお勧めしません。
いろいろあるんですね、インプラントだけかと思っていました。
そうですね、どの方法もメリット、デメリットがありますからこれから相談していきましょう。
監修者情報

院長 渡邉 威文
- 九州大学歯学部 卒業
- 九州大学総合診療科にて研修
- 福岡赤十字病院にて研修
- 山口県萩市にて勤務
- 福岡県糸島市にて勤務
- 医療法人渡辺歯科医院 継承







