
海を越えて届いた、人生を変えるインプラント体験
インプラント治療というと、都会の話だと思っていませんか?
実は、五島の海の向こうから、「もう一度、しっかり噛みたい」と願って通ってくださった方がいます。
今回は、そんな一人の漁師さんとの、少し特別な治療のエピソードについてお話します。
目次
プロローグ:五島からの一本の電話
「すみません、五島なんですが…インプラントのことで相談したくて」
ある日の夕方、当院に1本の電話がかかってきました。
声の主は70代の漁師の男性。言葉少なでぶっきらぼうな口調ながら、その奥に誠実さと、長年抱えてきた“歯への悩み”が滲んでいました。
彼は長年、五島の港町で漁師として働いてきた方です。
一度漁に出れば、1年近く船の上で生活することもあるという、まさに“海の男”。
その過酷な生活の中で、歯のトラブルを何度も経験し、ある時は自分でペンチを使って歯を抜いたこともあったそうです。
選択肢がなかった島での暮らし
五島で暮らす彼にとって、「歯の治療をどうするか」というのは、簡単に解決できる問題ではありませんでした。もちろん島にも歯科医院はあります。定期的な検診や、虫歯の治療、入れ歯の調整などには対応してくれる場所もある。
けれど、“インプラント”という選択肢だけは、五島では手が届かなかったのです。
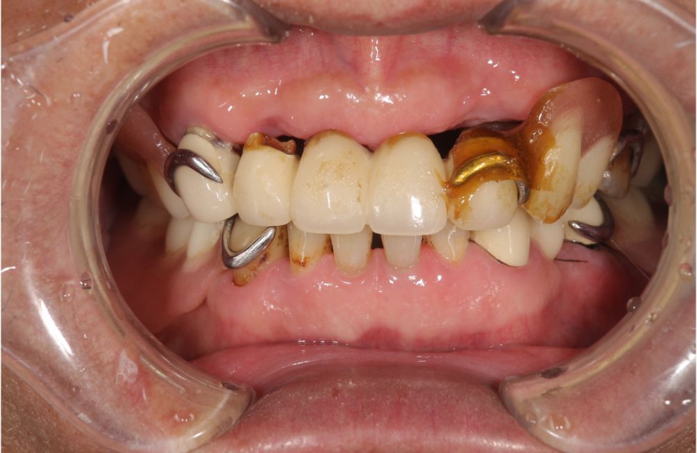
治療前


何年も前に奥歯を数本失ってから、彼は地元の歯科医院で部分入れ歯を作り、使い続けてきました。
けれど、その入れ歯は噛むたびにずれてしまい、硬いものは避ける生活が長く続きました。
特に漁師という職業柄、船の上では調理器具も限られており、柔らかい食事ばかりというわけにはいきません。
口を大きく開けて笑えば入れ歯が浮いてしまう、食事の途中で外れてしまう──。
「しょうがない」と自分に言い聞かせながら、でもどこか心のどこかで諦めきれない思いを抱えていたそうです。
ある日、インターネットで「長崎 インプラント」と検索していて、偶然見つけたのが当院のホームページでした。見た目は素朴な作り。
でも、“しっかり噛めるようにすること”に本気で向き合っていることが、画面越しに伝わってきた”と、あとから教えてくれました。
「歯医者さんって、どこも同じように見えてた。
でも、ここはちょっと違うなと思った」このとき、彼は初めて「もしかしたら、自分にもインプラントができるかもしれない」と感じたそうです。
島には治療できる医院がない。通うには船を使わなければならない。
それでも、「このまま噛めないままで一生を終わらせたくない」という思いが勝ったのだと。
当院のHPでは、入れ歯に悩んでいた方がインプラントで食事を楽しめるようになったエピソードや、遠方から通ってくださっている患者さんの事例も掲載していたため、それが一つの“安心材料”になったのかもしれません。
何よりも、「ここだったら、自分の歯のことを本気で考えてくれそうだ」と思っていただけたことが、私たちにとっては本当にうれしい出来事でした。
初診の日:海を越えて、1泊2日の通院
五島から当院に来られるには、フェリーでの移動、あるいは飛行機との乗り継ぎが必要になります。
彼は、午前中の船に乗り、長崎に着いたのは昼過ぎ。医院に到着されたのは、午後の診療が始まる少し前の時間でした。
初めてお会いしたその日、彼は無口で、どこか緊張した面持ちでした。
漁師らしいごつごつとした手、日焼けした肌。
でもその奥にあるまなざしには、「本当にこれで良くなるのだろうか?」という静かな不安と、「何とかしたい」という決意のようなものが、同時に宿っていたのを感じました。
診療室にご案内し、まずは丁寧にお話を聞くことから始めました。
日々の生活の中で、どんなふうに食事をしているのか、どんな場面で入れ歯が外れやすいのか、そしてこれまでどんな治療を受けてきたのか。言葉数こそ多くはなかったものの、彼は一つひとつの問いに対して、真剣に、率直に答えてくれました。
お口の中を拝見し、レントゲンやCTで骨の状態を確認。
噛み合わせや周囲の歯の動きもチェックしながら、今後の治療の流れを説明していきます。
インプラントが可能な部位と、そのために必要な処置(たとえば骨造成の可能性など)、そして来院回数や治療期間の目安。
私は、専門用語をなるべく使わず、「何のために、何をするのか」「どうすれば“噛めるようになる”のか」という視点でお話をしました。
一通り話し終えたあと、彼は少し口元をゆるめて、こんなことを言いました。
「先生、よう話してくれてありがとう。……正直、不安もある。でも……ここでやってみようかなと思った。」
その瞬間、診療室の空気が少し和らいだように感じました。
“海を越えてまで通ってきた”という行動の裏にある、彼の覚悟と期待に応えたい。
そう強く思った初診の日でした。
歯の本数、骨の状態、咬み合わせ――“総合力”が問われる治療
この症例においては、骨造成(GBR)などの大きな外科的処置は必要ありませんでした。
しかし、治療全体の計画を立てるうえで問われたのは、口腔全体をどのように再構築していくかという「診査診断の総合力」でした。
上顎はほとんどの歯がなく、下顎には残っている歯がわずかにあるものの、噛み合わせのバランスは大きく崩れており、左右両側にインプラントを計画的に配置する必要がありました。
私自身、このような複雑な条件の中で、どこに支点を置くべきか、どのように噛ませるかという“設計”の判断が非常に重要になることを、これまでの臨床経験から痛感しています。
その意味で、初診の段階で口腔内を診たとき、私は「これはしっかり治療すれば、きちんと噛めるようになる」と確信を持つことができました。その根拠は、骨の量や質、粘膜の状態、咬合平面の予測、そして残存歯の力のかかり方。
経験に裏打ちされた診査診断があったからこそ、初診時に「大丈夫ですよ。しっかり噛めるようになります」と、自信を持ってお伝えできたのだと思います。
加えて、患者さんの口腔内は歯数こそ少なかったものの、粘膜や骨の状態は比較的良好で、治療に対する反応も素直でした。こうした条件がそろっていたこともあり、治療の進行は非常にスムーズ。
初診から半年ほどで、しっかり噛めるところまでゴールを見据えた治療が実現できたのです。
この症例を通してあらためて感じたのは、インプラント治療は「埋める技術」ではなく「診断の設計力」がすべての始まりであるということ。
特に、全体の噛み合わせを見直しながら設計するようなケースでは、その差が治療結果に直結します。
海の上で噛む喜びをもう一度
診査・診断を終えたあとの私の頭の中には、すでに“治療のゴールの風景”が描けていました。
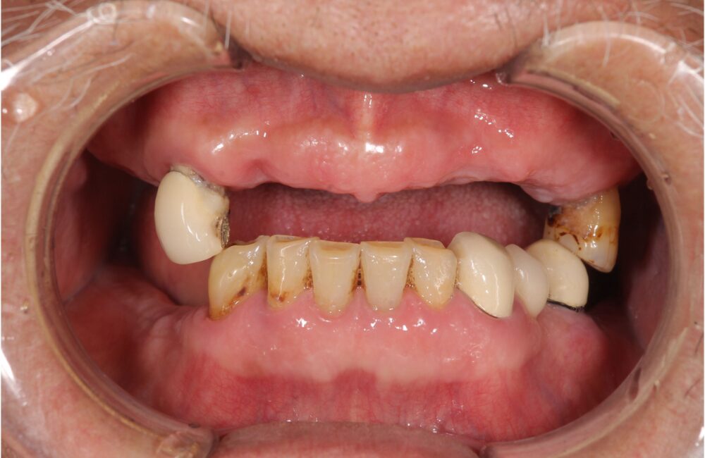
上顎はすでにほとんど歯がなく、入れ歯で対応している状態。下顎も左右の奥歯が失われており、残されたわずかな歯では十分な咬合支持が得られず、食事のたびに入れ歯がずれてしまう不便な状態でした。
そのため、治療方針としてはまず、上顎には即時義歯を用意し、下顎には両側インプラントを計画的に配置するという設計に決定しました。この方は五島からの1泊通院です。フェリーの時間、宿泊の手配、通院できる日程の制約……。
私たちにできることは、1回ごとの治療の中身と密度を徹底的に濃くすることでした。
事前に、技工士と連携しながら、上顎の総義歯の即時装着に向けた設計を行いました。
印象採得と咬合高径の設定、口腔周囲筋のバランスまで細かく調整し、その日のうちに使用できる仮義歯を準備しておいたのです。
「一度でできる限りの処置を行い、機能を確保する」──それが、患者さんの時間的・肉体的負担を最小限に抑えるために私たちができる配慮でした。
そして迎えた手術日。
この日は、下顎に3本のインプラントを左右に分けて同日中に埋入するというスケジュール。
インプラントの本数こそ2本ブリッジの予定でしたが、片側に2本、反対側に1本という配置で、最終的な咬合力の分散とブリッジ構造の安定性を見据えた設計です。
あらかじめCTシミュレーションで骨の形態とインプラント角度の最適化を行い、サージカルガイドを用いた無駄のない、確実な埋入を目指しました。
手術は、予定通りスムーズに終了。術後も大きな腫れや違和感は見られず、上顎には即時義歯、下顎には仮義歯による機能補完が入り、“噛めない完全な空白期間”は極力短くすることができました。
もちろん、治療のプロセスは簡単なものではありません。
患者さんにとっては、インプラントが骨と結合するまでの数ヶ月間、「完全に噛める」という状態にはなりませんし、仮義歯による不安定な期間も経験されたと思います。
しかし、その中でも彼は一度も弱音を吐かずしっかりと予約の時間には来院されスムーズに治療ができたのは、彼のこれまでの漁師で育まれた精神的な強さなのかなと、とてもその姿に逆に私が勇気づけられた経験でもありました。
【最終章】「イカを噛めた日」──五島の海の上に戻るためのインプラント治療
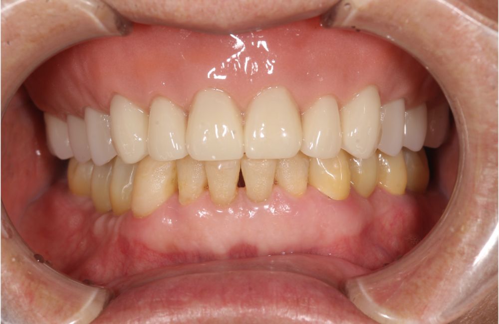
そして数ヶ月後、下顎のインプラントは問題なく骨と結合し、いよいよ最終的なブリッジと総義歯の仕上げに入る段階を迎えました。
上顎の総義歯は、仮義歯の段階から何度も微調整を重ねてきました。義歯の沈み込み、発音時の違和感、笑ったときの歯ぐきの見え方まで──すべてに目を配り、ただ「噛める」だけでなく、「その人らしく過ごせる」ように整えていきました。
下顎のブリッジは、最終的に左右両側にインプラントを用いた設計とし、咬合力を左右バランスよく分散できるような構造に仕上げました。もちろん、技工士との打ち合わせは何度も行いました。
どんな咬合面形態にするか、清掃性と強度のバランスはどうか、歯の色調はどれくらい自然にすべきか──患者さんの使い心地はもちろん、「海の上でもストレスなく過ごせるか?」という実用性も想像しながら、一つひとつ丁寧に確認していきました。
そして最終補綴が装着された日、鏡を見ながら、彼はほんの少し驚いたような表情をして、ふっと笑いました。

「これが……自分の歯みたいやな」
初めての装着でその言葉が出るのは、決して当たり前のことではありません。
それはきっと、「もう“我慢して噛む”日々が終わる」という実感だったのだと思います。
この治療を通して、彼は再び「自分でしっかり噛める生活」を取り戻しました。
食べ物の選択肢が増えることはもちろんですが、それ以上に、“自分の口で食べる”という自信と尊厳を取り戻されたのだと、私は感じています。
「前は、柔らかいもんばっかり食べよったけど、今はイカもちゃんと噛めるけんね」
そんな一言を、照れくさそうに笑いながら話してくださったその瞬間。
私たちが提供したのは「歯」ではなく、“噛むことを諦めなくていい人生”だったのだと、あらためて実感しました。
そしてもうひとつ、この治療を無事にやり遂げられた最大の要因は、実は「患者さんご本人の人柄」にあったのではないか──私はそう思っています。
初診の日、診療室に現れたときの印象は、まさに「海の男」という風貌そのものでした。
精悍な顔立ち、無口でぶっきらぼうな佇まい。
正直に言えば、「少し怖そうな方かもしれない」と感じたのが第一印象でした。
けれど、お話を重ねていくうちに、その印象は見事に覆されていきました。
受け答えは穏やかで、こちらの話にもきちんと耳を傾けてくださる。
ご自身の状態や希望についても、率直に語ってくださる。
説明した治療内容もきちんと理解して、次の来院までにしっかり準備を整えてきてくださる。
特に印象的だったのは、治療中の不便な時期にも一切不満を口にされなかったことです。
即時義歯や仮義歯の不安定さは当然あったはずですし、痛みや不自由さもゼロではなかったはずです。
それでも、「そういうもんでしょうから」と淡々と受け止め、どの処置もじっと耐え、予定通りに通ってくださいました。
また、当院のスタッフたちとも積極的にコミュニケーションを取ってくださり、診療室を出るときにはちょっとした冗談を交えて笑わせてくれるような場面もありました。
「最初ちょっと怖かったけど、本当にいい人だね」
そう話していたスタッフの言葉に、私も大きくうなずいたのを覚えています。
この方がこの治療を成功させたのは、単に私たちが頑張ったからではありません。
時間を守る、説明を理解する、努力を続ける、そして人と関わる姿勢──
すべてにおいて、「この方が患者さんだったからこそ、ここまでたどり着けた」のだと思っています。
五島という遠く離れた場所から、時間と労力をかけて治療に臨んでくださった。
それだけでも並大抵のことではありません。
それでも「ここまで頑張れたのは、この人だから」──
そう思わせてくれる、私たちにとっても忘れられない患者さんでした。
治療の先にある「生き方の選択肢」
私たち歯科医師が提供しているのは、単なる人工の歯ではありません。
それは、「もう噛めない」と思い込んでいた人が、もう一度食事を楽しめるようになること。
「どうせ入れ歯だから」と諦めていた人が、「自分の歯のようだ」と感じられるようになること。
つまりそれは、“自分らしく生きる”ための選択肢を、もう一度取り戻す機会なのだと思います。
この患者さんにとっても、インプラント治療はただの“歯の修理”ではありませんでした。
五島の海の上で、仲間と食べる夕食。
港町の食堂で、昔ながらの煮つけを味わう時間。
そういった、何気ない日常の中にある「噛める幸せ」を、もう一度つかむための手段だったのです。
そしてその想いに、私たちがどう応えられるか。
それこそが、歯科医療の本質であり、私たちの仕事の誇りでもあると感じています。
最後に:五島からも選ばれる理由
「五島のような離島からでも、本当に治療に通えるのか?」
「そもそも、自分のような年齢でもインプラントはできるのか?」
もし、あなたがそう思っているとしたら──今回の漁師の患者さんのエピソードが、何かの後押しになれば嬉しく思います。
私たち渡辺歯科医院には、五島や島原など長崎県内外の遠方からも多くの患者様がご相談に来られます。
「地元には選択肢がない」「移動が不安」「通院が難しい」
そうした悩みを抱えた方にこそ、私たちは「通う価値があった」と思っていただける治療を提供したいと考えています。
そのために、
- 1回ごとの診療密度を最大限に高める治療設計
- 事前のオンライン相談や、通院日程の柔軟な調整
- CTとガイドを活用した“無駄のない、的確な治療”
- 経験豊富な技工士との連携による高精度な補綴
など、来院回数を抑えつつも「質を落とさない」ことに徹底的にこだわっています。
今回の患者さんも、決して「時間に余裕があるから通えた」わけではありません。
日々の仕事の合間を縫い、船を乗り継ぎ、泊まり込みで来てくださいました。
その背景にあるのは、「本当に噛めるようになりたい」という強い想い。
私たちは、その想いに全力で応えるための準備と覚悟をもって治療に取り組んでいます。
「どこで治療を受けるか」で、その後の人生は大きく変わります。
もし、あなたが“噛めないこと”に悩んでいるなら。
「遠いから」と諦めてしまう前に、一度だけ私たちにご相談ください。
あなたの人生に、もう一度“噛む喜び”を取り戻すために。
私たちは、そのお手伝いを全力でさせていただきます。
監修者情報

院長 渡邉 威文
- 九州大学歯学部 卒業
- 九州大学総合診療科にて研修
- 福岡赤十字病院にて研修
- 山口県萩市にて勤務
- 福岡県糸島市にて勤務
- 医療法人渡辺歯科医院 継承







