目次
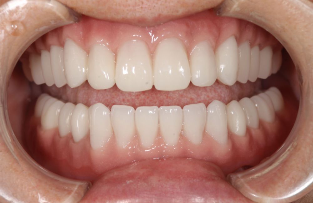
治療前と治療後の口腔内写真と顔貌変化




治療までの経緯
患者様は「左上のブリッジが外れかけている、歯がないところに歯を入れたい」という主訴で来院しました。
約4年間介護で付きっきりのため、これまで自分のために時間をつくることができなかったとのことです。
まずはしっかり奥歯で噛みたい、できればきれいになりたいという希望がありました。
診断の結果、骨格の問題や個々の歯の問題から、残念ながらすべての歯を抜歯せざるを得ない状況でした。
しっかり噛みたいという希望に沿うために、上は総義歯、下はインプラントオーバーデンチャー
(インプラントを使い、それを支えに入れ歯を入れること)で治療することとなりました。
臨床例
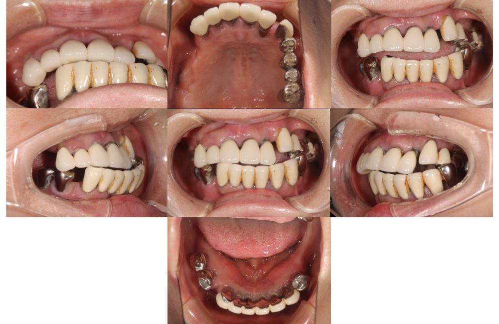
初診時の口腔内写真

初診時のレントゲン写真

静脈内鎮静下でのインプラント治療を受けるため、麻酔下の先生とzoomによる打合せ

患者様は大変怖がりな方で、できれば痛みや恐怖心を感じないような環境で手術ができないかということでのご相談をいただきました。
患者様のご希望に添えるよう麻酔科医による静脈内鎮静下でのインプラント手術を行うことになりました。
デジタルを用いて印象(歯型の型採り)
治療手順はいきなり抜歯をするのではなく、デジタルを用いて印象(歯型の型採り)を行い、あらかじめ入れ歯を作っておきます。
これの最大のメリットは、以下の2点です。
- 型採りの必要がないので、不快感が少ない(型採りのときに歯が抜ける可能性がない)
- デジタルを用いることで回数が圧倒的に少ない
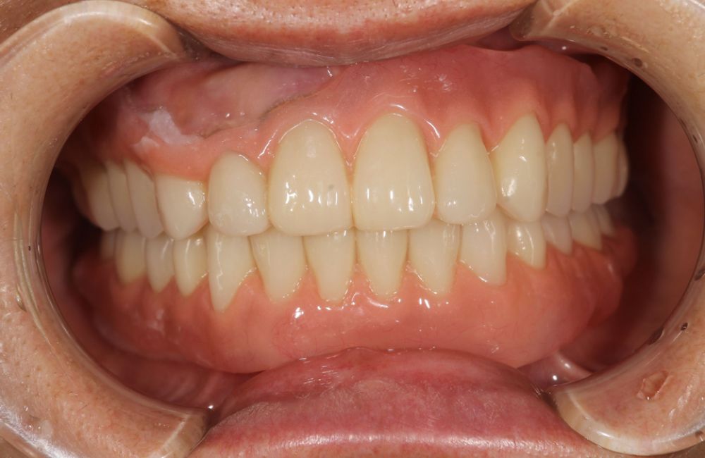
入れ歯の装着
あらかじめ作っておいた入れ歯を抜歯と同時に入れます。一気に抜歯して入れ歯を入れますので、お口のなかももちろんお顔も一気にきれいになります。
まだ仮の入れ歯ですが、一旦噛めるような状態にすることで大変喜んでいただきました。
抜歯のときはなんとか鎮静なしで頑張っていただきました。



鎮静下でのインプラントオペ
鎮静下でのインプラントオペです。
実際は全工程で1時間半くらいかかりましたが、患者様にとってみては、痛みがなく、寝たような状態なのであっという間という感じでしょうか。
患者様はたいへん怖がりな方でしたので、インプラントの一次手術(インプラントの埋入オペ)だけでなく、二次オペ(インプラントの頭出しのオペ)も鎮静下で行いました。
合計2回静脈内鎮静を行いました。




日本でも有数な技工士さんとの連携
日本でも有数な技工士さんとの連携により精密な入れ歯作りをおこないます。
この時もデジタルの力を十分に用いることで、精密かつ患者様にフィットするような入れ歯を作っていきます。


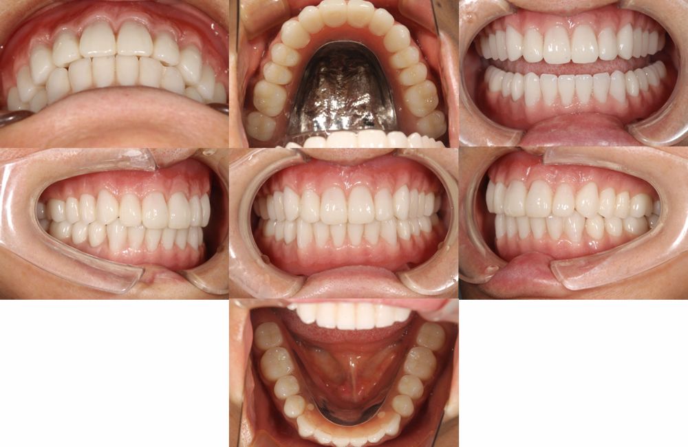
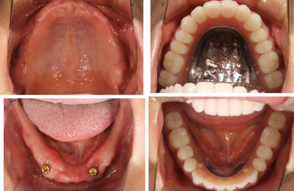
インプラントオーバーデンチャー装着

インプラントオーバーデンチャーの装着前と装着後

インプラントオーバーデンチャーの装着位置と装置

治療後のレントゲン写真

このように、インプラントオーバーデンチャーの治療によって、噛む力や見た目を大きく改善することができました。
実はこの患者様、長年ご両親の介護に尽力され、自分の歯の治療は後回しになっていたという背景がありました。
この患者様の背景ストーリーを読む
治療詳細
| 年代・性別 | 60代女性 |
| 主訴 | 左上のブリッジが外れかけている、歯がないところに歯を入れたい |
| 診断 | 病的咬合 |
| 治療内容 | 上:金属床 下:インプラントオーバーデンチャー |
| 費用 | 約200万(税込) |
| 期間 | 1年半 |
| リスク・副作用 | 外科処置が必要。 入れ歯で噛みにくい期間がある。 静脈内鎮静における注意事項がある |
監修者情報

院長 渡邉 威文
- 九州大学歯学部 卒業
- 九州大学総合診療科にて研修
- 福岡赤十字病院にて研修
- 山口県萩市にて勤務
- 福岡県糸島市にて勤務
- 医療法人渡辺歯科医院 継承






