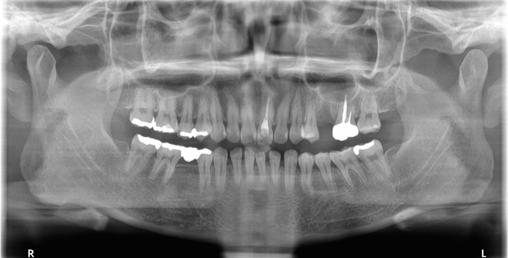
初診時の様子


患者様とのやり取り
こんにちは。本日はインプラントのご相談ですね。
はい、インプラント専用のホームページを見てきました。
ありがとうございます。本日はどういったご相談でしょうか?
はい。3ヶ月前に左上の歯を抜いたのですが、ブリッジにするかインプラントにするかで迷っています。
ただ、健康な歯はあまり削らないので、インプラントの方がいいのかなと考えています。
なるほど。確かに、ブリッジの場合はお互い隣の健康な歯を削る必要がありますが、インプラントなら単独で治療ができるので、周囲の歯に負担を掛けることがありません。
そうですよね。
抜歯をした箇所が笑うと見えてしまうので、なるべく早く治療をしたいと考えています。
見た目も大切ですよね。今の状態をしっかり確認し、スムーズに治療が進められるように考えていきます。
お願いします。
以前、抜歯した歯科医院でもインプラントの説明は受けたんですが、やっぱり経験の多い渡邉先生にお願いしたいと思い、こちらに来たんです。
そうだったんですね。ありがとうございます。
インプラントは精密な治療なので、しっかり診査・診断を行い、最適な治療計画をご提案させていただきます。
はい、よろしくお願いします。
監修者情報

院長 渡邉 威文
- 九州大学歯学部 卒業
- 九州大学総合診療科にて研修
- 福岡赤十字病院にて研修
- 山口県萩市にて勤務
- 福岡県糸島市にて勤務
- 医療法人渡辺歯科医院 継承







