長年お口の中で困っていたが、親族の介護で自分に時間がかけられずにいたが、左上のブリッジが外れかけていて、噛みにくくなっていて一念発起して来院されました。
インプラントオーバーデンチャーを検討されました。
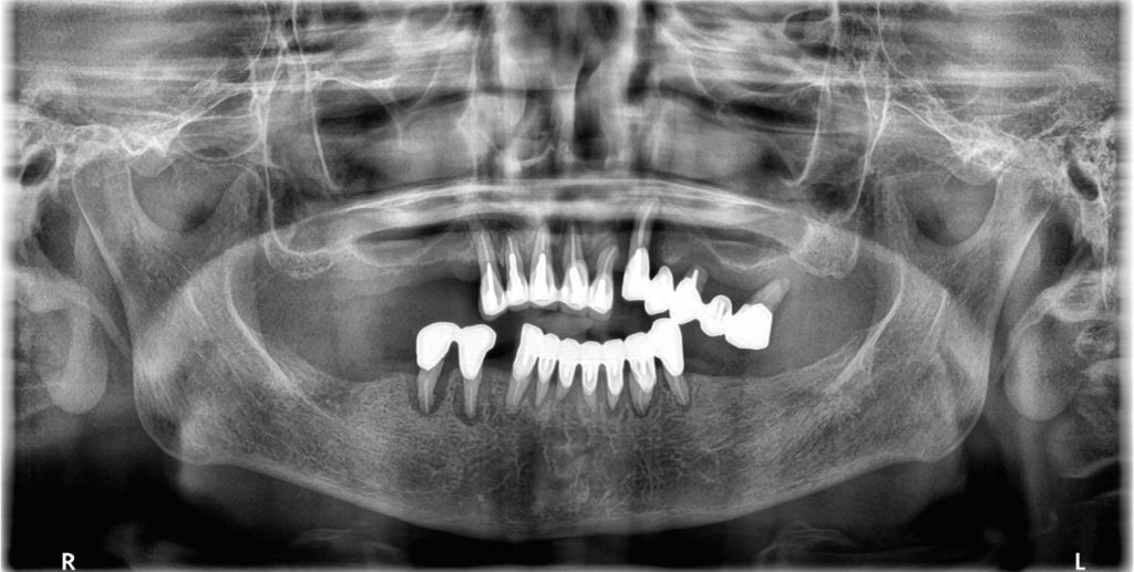
初診時の様子


相談に必要な資料
- 問診
- 口腔内写真
- パノラマレントゲン写真
- CT撮影
上記の無料相談を行った上で、後日精密な検査をおこなっていきます。
患者様とのやり取り
こんにちは!よろしくお願いします。今日はどうされましたでしょうか?
左上のブリッジが外れかかっていて噛みにくいです。それと歯がないところに歯を入れたいです。
ありがとうございます。お口の中を拝見しますね。確かに左上のブリッジは揺れていますね。痛みはありますか。
噛むと痛いのでここを避けて噛んでいます。ですので今は前歯で噛んでいる状況です。
それは困りますね。それではまず揺れている部分も含めてレントゲン撮影とCT撮影を行いましょうか。
お願いします。
検査お疲れ様でした。左上はほぼ抜けかかっていますね。その他の歯はどうですか?
はい、他の歯も動いています。私としてはほぼ全ての歯が抜歯になると思いますし、その覚悟はできています。
確かに抜歯適応の歯は多そうですね。
少しお聞きしたいのですが、前歯も含めてしっかり噛んでいないように思いますが、
歯を作ったときからこのような感じですか?
はい、少しずれてきた感じもありますが大体このような感じでした。
そうですか、口腔内を拝見したところ、上下の真ん中は一致していなく、お顔と歯のバランスを見ても一致していないように見えますね。骨格的なズレが元々あったのかもしれませんね。
確かに元々上下の歯が先と先で当たっていたと思います。
介護の関係で今まで自分に時間をかけることができませんでしたが、これから治療をしっかりしていきたいです。
噛むためにはインプラントという方法があると聞きました。
しっかりと噛むことができることが一番ですが、前歯のもっと綺麗にしたいです。
わかりました。それは大変でしたね。
これからしっかり治療していけばしっかり噛むことができますよ。
ここまでくると、全体的に抜歯をして入れ歯とインプラントを併用した、インプラントオーバーデンチャーという方法が適応かと思います。
入れ歯を使うことになりますが、インプラントで支えるために、今までの入れ歯と違って動かずに噛むことができます。
そうなんですね、入れ歯は使ったことがありますが、もう合わないので使ってなかったです。
頑張ってみたいです。
そうですね、一緒に頑張っていきましょう。
監修者情報

院長 渡邉 威文
- 九州大学歯学部 卒業
- 九州大学総合診療科にて研修
- 福岡赤十字病院にて研修
- 山口県萩市にて勤務
- 福岡県糸島市にて勤務
- 医療法人渡辺歯科医院 継承







